Arthritis - what is it and why does it hurt?
/The word arthritis comes from a combination of the greek word for joint (arthro) and inflammation (itis) and means exactly that - inflammation of the joint. There are many different kinds of arthritis and generally when a vet tells you an animal has arthritis what they really mean is osteoarthritis (OA), otherwise known as degenerative joint disease (DJD).
DJD is the most common form of arthritis in both humans and animals, and as the name suggests is defined by the degeneration of the cartilage and bone in the joint. The pathophysiology of osteoarthritis is complex but put simply the collagen in the joint starts to break down and the protective enzymes in the joint reduce in numbers. This results in an abnormal consistency of the joint fluid, poor blood supply and ongoing inflammation.
Because the protective cartilage in the joint is worn away the bone rubs together and causes pain. The inflammatory mediators released during the arthritis process can also contribute to the discomfort.
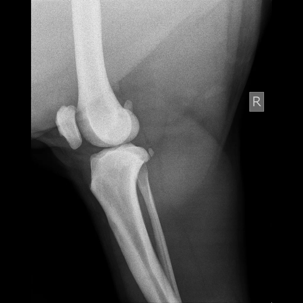
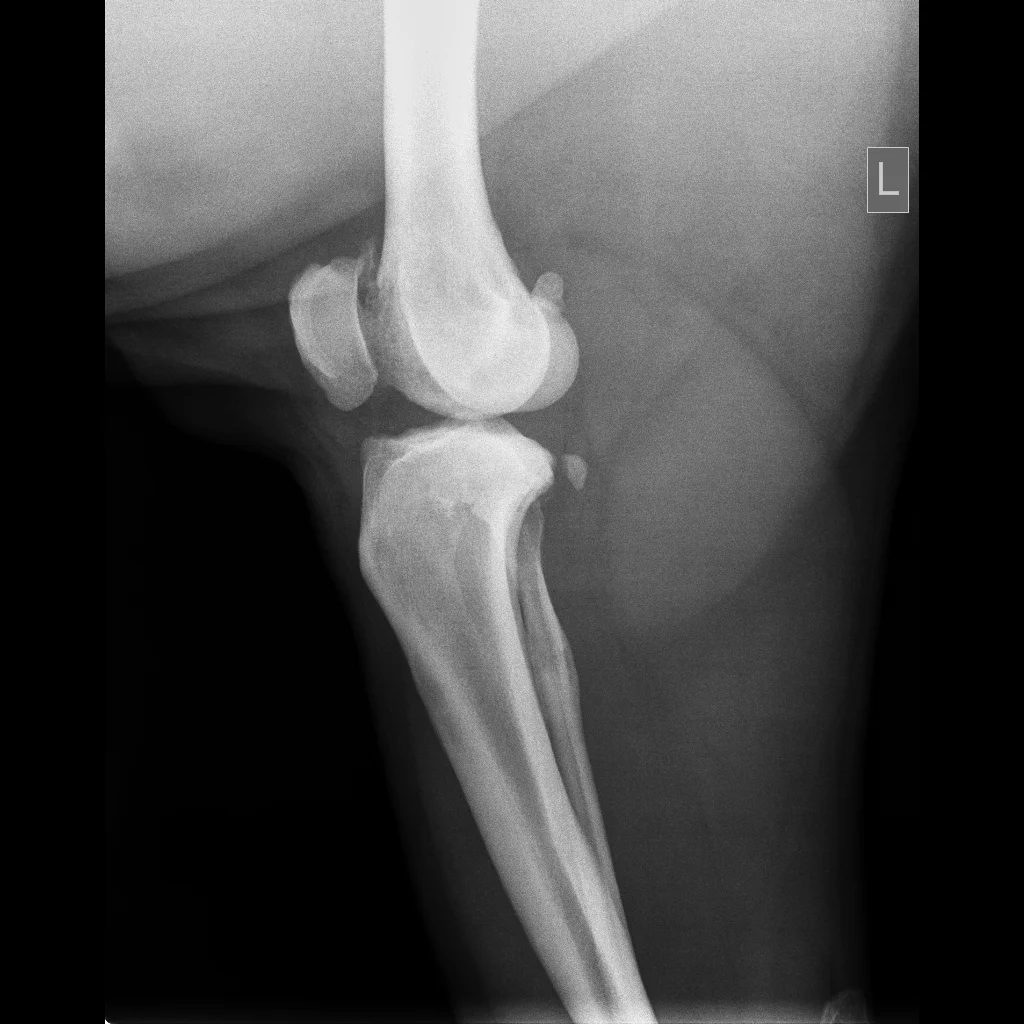
The two photos below show two stifle joints (knees) of a bear at the Chengdu Bear Rescue Centre. You can see the difference between the two, the L labelled joint has spiky pieces and haziness around the edge of the bone in the joint, these changes are secondary to DJD.
Symptoms of DJD in pets
- reduced exercise tolerance
- stiffness after resting
- lameness/limping
- acting irritable or aggressive when touched in certain areas
- licking or chewing joints
- inability to groom normally
- reluctance to jump up or climb stairs
Treatment options
There are many treatment options available for DJD, and some can even be used as preventatives. I have tried to list the pros and cons of each of the therapies below, but just remember this is not a comprehensive list and your vet may recommend other alternatives.
- REST!!! Many people forget that their 14 year old corgie cannot run 15km anymore ! Just like an older person exercise is still important, but slow and easy exercise like swimming, walks and jogs on softer surfaces are best.
- Natural therapies: Glucosamine at 500mg per 10kg, Fish oil 1000mg per 10kg. These are not 'exact' doses because not enough veterinary studies exist to prove if it works, and at what dose. But these are safe and seem to be effective in many dogs. There are also joint powders such as Sashas blend available.
- Joint diets: Many foods now offer Joint diets which contain glucosamine, chondroiton and fish oil. I do believe diet is an area you get what you pay for and would recommend Hills or Royal Canin.
- Pentosan Polysulphate (Trade name in Australia 'Cartrophen'): An injection that is generally given once a week for four weeks then repeated every 6 months. Pentosan polysulphate works by increasing joint fluid, reducing cartilage damage and improving blood flow to the joint. I personally have seen some great results, and it does not have any long term side effects. It can also be used for prevention of arthritis in high risk breeds, for example we might start an overweight labrador on cartrophen at 8 years of age in the hope we slow down the onset of DJD. The main disadvantages are the multiple vet trips and generally the injections cost around $50 a pop and clinics may charge for a consultation.
- NSAIDs (Non steroidal anti-inflammatories): In people this includes ibuprofen, in dogs and cats there are numerous drugs including meloxicam and carprofen. These medications work by inhibiting the inflammatory mediators involved in arthritis and they help block the pain pathways. They can have long term effects on the kidneys and liver though so should be used with caution and reserved for more severe cases.
- Stronger pain relief options, such as tramadol or buprenorphine, are also available for animals with severe DJD and pain.
